
For patients who have advanced arthritis in their hip, certain treatments are available. Generally, doctors recommend either hip replacement surgery or hip resurfacing. These procedures are both different types of hip replacement, but they have notable differences. A Dallas orthopedic surgery specialist can examine your affected hip and determine which treatment plan is right for you. At SPORT Orthopedics and Physical Therapy, we offer a wide variety of treatment options for an even wider variety of conditions. If you suffered a sports injury or simply have a lot of wear and tear on your joints, we’re here to help. Managing your symptoms and your pain is extremely important. Whether you need surgery or physical therapy in Dallas, SPORT does it all. To schedule an appointment with us, please call 469-200-2832 or fill out our online intake form.
What Is Hip Resurfacing?
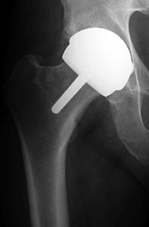
Hip resurfacing is a procedure that replaces a damaged hip joint with a new one. The curved shape of the thigh bone, or femoral head, glides easily inside the circular socket of the hip bone in the hip socket. The joint is usually coated with cartilage, which aids in the smooth movement of the bones. When this joint is damaged, moving the femoral head can produce discomfort because the bones scrape against one other irregularly.
During the resurfacing procedure, your doctor creates an incision. This allows them to access the hip and thigh bone. Then, they trim down the head of the femur and put a metal covering over it. Lastly, the surgeon removes any damaged bone pieces from the joint and replaces them with metal shells.
Although resurfacing is a type of hip replacement, it differs in significant ways. The hip replacement surgery that many people think about involves removing the entire femoral head. During a regular hip replacement, the surgeon replaces the socket of the hip bone with a completely new one rather than putting a metal cap on the original.
Anatomy of the Hip Joint
The ball and socket hip joint forms from the pelvis and the head of the femur. Its primary functions are stability and bearing the weight of the body rather than achieving a wide range of motion.
Specifically, the head of the femur joins with the acetabulum of the pelvic bone. The acetabulum is the depression part of the pelvis which curves inward into a cup shape. The hemisphere of the head of the femur fits perfectly into the acetabulum.
Both of the above structures are surrounded by articular cartilage, which is thicker than other types of cartilage. Ligaments within the hip joint serve to create more stability. Surrounding the joint are the muscles, blood vessels, veins, and other necessary tissues.

What Causes Hip Pain?
Many different causes for hip pain exist. Below, we list some of the sources we see most often.
- Arthritis: This is among the most common of hip pain causes, along with its offshoots, osteoarthritis and rheumatoid arthritis. It often involves hip joint inflammation and cartilage deterioration. Pain associated with this condition usually worsens over time. It also causes stiffness and a reduced range of motion.
- Avascular necrosis: This occurs when blood flow to the hip slows down and the bones start to die. It happens most often in and around the hip, resulting from dislocations or fractures.
- Bursitis: This is the inflammation of the bursae, or sacs of fluid between tissues in the body. When this happens, it can cause pain.
- Cancer: Some tumors originate in the bones or spread to the bones. These tumors often result in hip pain, and even in other parts of the body.
- Hip labral tear: This tear in the ring of cartilage around the outside of the hip joint causes pain. Aside from causing pain, a hip labral tear can also affect mobility.
- Muscle or tendon strains: Repetitive activities sometimes cause pain after they put strain on the muscles and tendons of the hip joint. It can also prevent the hip from functioning properly.
- Tendinitis: This condition affects many different joints of the body, including the hip joint. It involves inflammation and irritation of the tendons in the hip joint, usually due to overuse.
- Hip fractures: Fractures of the hip can obviously cause hip pain. Some fractures still allow patients to walk if they are smaller, but many result in instability in the hip joint.
How Does Hip Resurfacing Work?
Hip resurfacing is the process of removing damaged bone and cartilage from the hip joint. On top of the reduced thighbone, your surgeon installs a smooth metal cover. The hip socket is lined with a metal casing. These two metal components move in tandem, providing for smooth, painless action.
Difference Between Hip Replacement and Hip Resurfacing
Think of the top portion of the femur as your neck and head. Hip resurfacing is more like trimming your hair and then putting a hat on. Meanwhile, hip replacements are more like removing the head and replacing it with a new one.
Hip replacement is as it sounds – a replacement of something. The surgeon removes the head of the femur and replaces it with a metal component of a similar shape. During resurfacing, however, the head of the femur is simply shaved down to take away the damaged parts.
Who Is a Good Candidate for Hip Resurfacing?
If you have extensive damage to your hip, you may need hip resurfacing. This joint can be damaged by a variety of medical diseases, including the ones listed below.
- Rheumatoid arthritis
- Osteoarthritis
- Osteonecrosis
- Tumors in the hip joint
- Hip fractures or injury to the joint
If the injury to your hip joint is severe, it will eventually produce discomfort and impede your regular activities. Hip resurfacing may help relieve discomfort, increase joint mobility, and improve your overall quality of life. Hip resurfacing is usually recommended only if other, more moderate therapies, such as pain medications and assisted walking aids, have failed to alleviate your symptoms.
Discuss the advantages and disadvantages of hip resurfacing vs standard complete hip replacement with a trusted physician. Certain issues, such as hip dislocation, may be reduced by hip resurfacing. Other problems, such as a femoral neck fracture, may be increased as a result. If you undergo hip resurfacing, your healthcare practitioner may be able to do subsequent revision surgery on your joint more easily than if you had a total hip replacement. For other patients, hip resurfacing may be a better option. This is particularly true for individuals under the age of 60 who have bigger frames and strong bones.
What Is the Hip Resurfacing Procedure Like?
Your doctor can help you understand the specifics of your procedure. The severity of your condition and the surgical method will determine the specifics of your hip resurfacing surgery. The procedure will be performed by an orthopedic surgeon with the assistance of a team of trained healthcare experts. It’s possible that the entire procedure will take two or three hours. You can anticipate the following steps.
First, you will most likely receive general anesthesia. This ensures that you sleep through the entirety of the procedure and that you don’t feel pain or discomfort. It is also possible that your doctor opts for a spinal anesthesia and medicines to relax you. In this case, you will be awake but very calm.
A trained professional monitors your heart rate, blood pressure, and other vitals during the procedure. Sometimes, the surgery calls for the use of a breathing tube down the throat of the patient. This helps them breathe more easily.
Some patients take antibiotics before and after the surgery. This helps to prevent infections. Once the surgeon makes the incision in the thigh, they begin the process of hip resurfacing. The incision cuts through both skin and muscle to access the bone.
The surgeon removes the femoral head from the hip socket joint. Then, they trim it with special surgical tools and place a metal cap over the top. After that, they remove damaged cartilage and bone from the area.
They push a metal cup into the socket, place the femoral head back inside, and finally close the incision surgically.
What to Expect After Hip Resurfacing
Discuss your post-surgery expectations with your healthcare physician. After your treatment, you might have some soreness around the incision, although pain medications help to alleviate the discomfort. You should be able to return to a normal diet within a few days. You may need imaging tests, such as an X-ray, to ensure that your operation went well. Then, you can go home in the following several days, depending on the severity of your injuries and other medical issues.
When you can put pressure on your leg, your healthcare professional will inform you. For a few days or weeks, you may need to use crutches or a walking cane. It’s possible that you’ll need to work with a physical therapist to keep your joint mobility and strength. Within 6 weeks following surgery, you should be able to resume most of your normal activities.
Having some fluid drain from the incision site is fairly normal. However, if this fluid turns yellow or white instead of clear, call your doctor. You should also call them if the swelling, redness, or drainage worsens. A high fever, chills, or pain that you can’t get rid of are all serious signs. As soon as you experience any of those symptoms, go to the doctor. Surgeons usually remove sutures or staples around a week or so after the procedure.
The metal pieces that the surgeon installs into your knee are likely to loosen or deteriorate over time. Because of this, doctors sometimes recommend revision surgery anywhere from 10 to 20 years after the initial surgery.
What Are the Risks and Complications of Hip Resurfacing?
The majority of patients have a positive experience with hip resurfacing surgery. However, like any surgery, there are potential dangers associated with the treatment. The following are some of the potential side effects of hip resurfacing.
- Excessive bleeding
- Infection
- Blood clots
- Femoral neck fracture
- Nerve damage
- Anesthesia complications
- Dislocated hip joint
Risks and complications vary from patient to patient, mostly depending on their existing medical problems and their age. One example is poor bone healing in patients who smoke cigarettes. The best way to prepare for the potential risks is to speak with your orthopedic surgeon.
Why Is Hip Resurfacing so Effective?
In terms of reducing hip pain and enhancing mobility, hip resurfacing is just as successful as hip replacement. Hip resurfacing has a number of advantages over hip replacement, including the following.
- Mobility improvement: After healing, most patients who have hip resurfacing can run, jump, and participate in all activities. Limited activities like walking, swimming, and golfing are more ideal for those who undergo hip replacements. High-impact activities might cause issues by loosening the artificial joints.
- Reduced likelihood of hip dislocations: After resurfacing, the head of the femur fits more securely into the hip socket, as it is the appropriate size. Replaced hips tend to dislocate more frequently because of a looser fit.
- More even leg lengths: Hip replacements sometimes result in uneven leg lengths. The risk of this is significantly lower in hip resurfacing.
- Simpler revision or follow-up procedures: Sometimes patients undergo future revision surgery. This usually happens when hip implants start to loosen, wear down, or suffer infections. Resurfacing, however, is easier to revise, as there is more original bone left to work with.
When to Call the Doctor After Hip Resurfacing
If you start to experience complications after the surgery, it’s important to know when to call your doctor. We list examples of times to call your doctor below.
- You develop a fever or similar signs of infection at the site of your incision. Examples include red and tender skin, or a yellow discharge.
- You experience a limited range of motion with your new hip.
- You experience pain in the calf, in either leg, chest pain, or shortness of breath.
- There is a popping sensation in your new hip which might be a fracture or dislocation.
- You experience severe hip pain.
Hip resurfacing is a potential alternative for younger, active persons with arthritic hip discomfort, particularly males. Hip resurfacing was authorized by the US Food and Drug Administration in 2006, indicating that it is a fairly safe surgery. It’s critical to select an orthopedic physician who has performed this treatment successfully before.
Contact SPORT Orthopedics and Physical Therapy Today
At SPORT Orthopedics and Physical Therapy, we develop custom treatment plans for our patients. In our office, you’ll never be just another number or case. We fully examine and diagnose our patients, then work with them to find the best possible medical solutions for their injury or condition. To schedule an appointment with us, please call 469-200-2832 or fill out our online intake form today.





